|
Letzte Aktualisierung:
HIER! |
|
|
|
10.03.2014
"Hochzeit"
von
Hella & Arthos
|
|
 |
 |
|
|
|
Am
27.02., pünktlich zu Hella's 4. Geburtstag, hatte das warten auf ihre
Läufigkeit ein Ende.
Am 09.03. fuhren wir das erste mal zu unserem auserwählten Deckrüden. Arthos
vom Fleischereck, ein schon erfahrener Deckrüde, begrüßte Hella stürmisch,
in froher Erwartung.
Für Hella war diese Situation natürlich "Neuland" und sie zog es erstmal vor
mit ihm zu spielen bzw. zu toben. So nahm der erste Tag seinen Lauf, es
wurde geflirtet und kokettiert aber sich decken lassen lehnte unsere Maus an
diesem "Kennenlerntag" noch ab!
Am nächsten Tag war man sich nach kurzem Vorspiel bereits einig und Arthos
lies nichts mehr anbrennen. Auch das Nachdecken am darauf folgenden Tag
klappte in souveräner Manier.
|
|
|
|
 |
|
|
|
Arthos & Hella beim "Vorspiel"...
|
|
|
|
 |
|
|
|
Allzu leicht machte sie
es ihm nicht..., erstmal war toben angesagt!
|
|
|
|
Nun
heißt es wieder abwarten...! Bei einem normalen Trächtigkeitsverlauf,
rechnen wir mit dem I-Wurf so um den 12. Mai herum. Alle drei Farbschläge
sind möglich.
Um vorab aber Gewissheit zu haben und auch zur Kontrolle, werden wir so ca.
am 28. Tag eine Ultraschalluntersuchung zur Schwangerschaftsdiagnostik
vornehmen lassen.
|
|
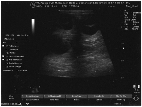
07.04.2014
-Ultraschall-
28.Tag |
|
 |
|
|
|
Gute Nachrichten...
unsere Vermutung, die durch die Anzeichen der letzten Tage auf eine
Trächtigkeit hindeuteten (Verhaltensänderung, vergrößerte Zitzen usw.),
wurde heute bei der Ultraschalluntersuchung bestätigt. Hella ist tragend und
es wurden "viele" kleine Fruchtblasen lokalisiert. Hella ist gut drauf und
sie wiegt 32 kg - was ihrem Normalgewicht entspricht.
Die Embryonen oder ab jetzt Föten (die Embryonalperiode endet um den 28.Tag
rum) haben jetzt eine Größe von ca. 3 cm. Es sind bereits alle wichtigen
Organsysteme im Groben angelegt und die Körperform ist in Grundzügen
erkennbar. Zur Zeit äußerlich noch unscheinbar wird so ab der 5./6.
Trächtigkeitswoche das Größenwachstum der "Mini's" rapide zunehmen. |
|
|
|

Auf dem obigen Ultraschallbild sind drei
Fruchtblasen zu sehen |
|
|
|
|
25.04.2014
46.Tag |
|
Jetzt Mitte der
7.Trächtigkeitswoche formt sich Hella's "Bäuchlein" zusehenst. Die
sonst schlanke Taille ist nun vorerst Geschichte.
Sie ist zu jeder Zeit unermüdlich auf "Nahrungssuche"! Jeder Gegenstand in
unseren Händen wird mit stechendem Blick fixiert und genauestens gemustert -
es könnte ja doch etwas Fressbares sein und man hat ja einiges zu versorgen.
Sie hat diesen erwartungsvollen Blick den wir schon von ihrer Mutter und Oma
während deren Trächtigkeiten zur Genüge kannten. |
|
|
|
 |
|
|
|
Die kleinen "Domäneländer" in ihrem Bauch
haben jetzt, Mitte der 7.Woche etwa die halbe Geburtsgröße erreicht. Es ist
kaum vorstellbar das sie in den noch verbleibenden gut 2 Wochen bis zur
Geburt ihre jetzige Größe noch verdoppeln! |
|
|
|
|
|
05.05.2014
56.Tag
"Gewusel unter der Bauchdecke...!" |
|
Im Bewegungsdrang nunmehr
gemäßigt dreht Hella im Haus und auf dem Grundstück ihre Runden. Jetzt wird
abgewogen welcher Gang sich wirklich lohnt oder eher nicht. Alles
"Fressbare" hat nach wie vor höchste Priorität! Ihre Murmel schiebt beim
Laufen wie ein Pendel von die eine auf die andere Seite. Sie genießt alle
Streicheleinheiten und "Bauchkrauler" ausdauernd in vollen Zügen.
Unter ihrer Bauchdecke geht es nun schon zeitweise ganz schön zur Sache.
Deutlich sieht und spürt man die Bewegungen der heranwachsenden "Mini's.
Hella's Bauchumfang beträgt jetzt ca. 92 cm. |
|
|
|
 |
|
|
|
Die Wurfkiste steht
mittlerweile im Haus und wird nachts von unseren Damen im Wechsel getestet!
Das Verhalten unserer Mädels untereinander ist noch harmonisch... wir sind
sehr gespannt wie sich das mit Ankunft der Welpen darstellen wird. |
|
|
|
 |
|
|
|
|
|
10.05.2014
61.Tag |
|
Die Welpen sind da!!! |