|
02.06.2018
"Hochzeit"
von
Brisco & Jelva
|
|
Am 01.06. brachen wir auf
nach Ostfriesland um unseren auserwählten Rüden einen Besuch abzustatten.
Nach Abstrich und Progeterontest bei unserem TA sollte die Zeit an diesem
Wochenende gekommen sein den nächsten Versuch zu wagen...
Am 02. und 03. Juni
deckte der schwarzmarkene Rüde Brisco von der Hüttener Quelle, ein Sohn aus der Verpaarung
Fara von den Kalkberghöhlen und Anton von der Surheide, unsere Jelva.
Brisco ist ein junger, harmonischer und substanzvoller Hovawartrüde vom derben Typ mit einem
vorzüglichem
Exterieur und ausgeglichenem Wesen.
Nach kurzer "Kennenlernphase" ´deutete Brisco Jelva's eindeutige Signale zur
Paarungsbereitschaft instinktiv und deckte sie an beiden Tagen problemlos.
Wir erhoffen uns aus dieser Verpaarung typvolle Hovawarte in Blond und
Schwarzmarken

Jelva vom Schwedenstein

Brisco von der Hüttener Quelle |
|
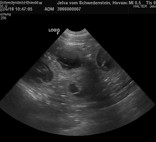
28.06.2018
positiver Ultraschall |
|
Mit Spannung fieberten wir den heutigen Tag
entgegen und können nun freudig mitteilen was wir schon vermuteten... Die
Verpaarung von Brisco und Jelva hat "gefruchtet"! Wir erwarten um den
04. August die Welpen unseres K-Wurfes, Jelva's erstem Wurf.
Alles sieht gut aus, viele Kleine Fruchtblasen waren zusehen.
Jelva geht es bestens, etwas ruhiger und anhänglicher aber sonst in Sachen
Wachsamkeit ganz die Alte. Wir sind sehr gespannt...
 |