|
|
|
|
|
19.01.2020
Deckakt
zum L-Wurf |
|

Cyr Tara Guarda |

Jelva vom Schwedenstein |
|
|
|
Anfang des neuen Jahres hatte nun das Warten auf Jelva's Läufigkeit ein
Ende, nachdem Jette diesbezüglich "vorlegte" zog Jelva ein paar Tage später nach. Am 19.
Januar machten wir uns zum auserwählten Deckrüden in Richtung Tschechien auf
den Weg. Cyr, ein kräftiger und substanzvoller, erfahrener sm Rüde,
tschechischer Champion, erwartete uns schon. Nach kurzer "Kennenlern-Phase"
war man sich einig und Cyr deckte Jelva souverän und instinktsicher. |
|
|
|
 |
 |
|
|
|
Jelva voller Energie,
wollte doch erstmal umworben werden...
|
|
|
|
Auch
das Nachdecken am 21.01.2020 lief ähnlich ab, Begrüßung, kurzes Spielchen
und man ließ der Natur seinen Lauf. Wir versprechen uns aus dieser
Verpaarung, kräftige und typvolle Hovawarte in den Farbschlägen blond und
schwarzmarken mit den souveränen Weseneigenschaften der Eltern.
Jetzt heißt es abwarten ob Jelva aufgenommen
hat. Nach dem Ultraschall in ca. 4 Wochen werden wir es wissen ob der L-Wurf
auf dem Weg ist! |
|
|
|
 |
|
|
|
|
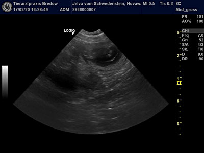
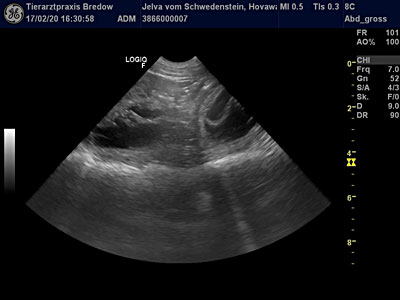
17.02.2020
30. Tag
"Ultraschall" |
|
Die Ungewissheit hat ein
Ende. Die heutige
Ultraschalluntersuchung bestätigte unsere Vermutung - Jelva ist tragend! Mehrere
Fruchtblasen mit ihren Föten konnten wir sehen - der L-Wurf ist im
Anmarsch. Jelva geht es sehr gut. Sie zeigt sich etwas ruhiger und
anhänglicher als sonst, aber ist wachsam wie eh und je! Sie wog heute beim
Tierarzt 32.2 kg - für Jelva Normalgewicht - also alles im grünen
Bereich.

Wir sind schon sehr
gespannt wie sich Cyr farblich wie geschlechtlich einbringen wird.
Farblich war Jelva 's erster Wurf (K-Wurf) ja doch etwas "blondlastig",
bei ausgeglichener Geschlechterverteilung!
Fütterungstechnisch werden wir bei Jelva nun langsam den Energie- und
Eiweißanteil im Futter erhöhen.
|
|
|
|
|
28.02.2020
41. Tag |
|
Nach nun knapp 6 Wochen
"formt" sich unsere werdende Mama langsam. Die ungeborenen Welpen haben
jetzt ca. ein Viertel ihrer Geburtsgröße erreicht. Da das Wachstum in den
letzten 3 Wochen der Trächtigkeit deutlich zunimmt wird auch Jelva's
Körperfülle entsprechend zunehmen und deutlicher zu sehen sein.
Ihr Fressverhalten hat sich mittlerweile stark verändert, gefühlt hat sie
jetzt immer Hunger und kann nicht so richtig verstehen das wir ihren
Forderungen nicht bedingungslos nachkommen wollen. |
|
|
|

Die stolze, werdende Mama! |
|
|
|
|
11.03.2020
53. Tag |
|
Mal wieder ein Lebenszeichen
von uns. Jetzt Mitte der 8. Trächtigkeitswoche ist Jelva's
Allgemeinverhalten doch deutlich ruhiger als sonst. Der Wachinstinkt lebt
natürlich nach wie vor, jedoch hat man das Gefühl sie wägt mehr ab welcher
Gang lohnt und welcher zu vernachlässigen ist, je nach "Bedrohungslage"
;-).
Sie bekommt jetzt mehrere, kleine Mahlzeiten über den Tag verteilt da der
Bauch verengt ist. Ihr Appetit ist ungebrochen. In entspannter Lage kann
man bei ihr mit aufgelegter Handfläche die Welpenbewegungen spüren.
Jelva genießt alle Streicheleinheiten und "Bauchkrauler" z.Zt. besonders.
|
|
|
|
 |
 |
|
|
|
"Revierabnahme" (Anfang 8.Wo.)...
etwas gemächlicher als sonst aber Ordnung muss sein! |
|
|
|
|